世同口腔
咨询电话:
0459-4688588
15846166668
大庆打折网
注册
|
登录
|
设为首页
|
收藏本站
|
加入我的收藏
|
帮助中心
|
会员中心
首页
关于我们
世同动态
医生介绍
院长考察
治疗案例
环境设备
消毒管理
网友点评
持打折卡
7.8-7.8
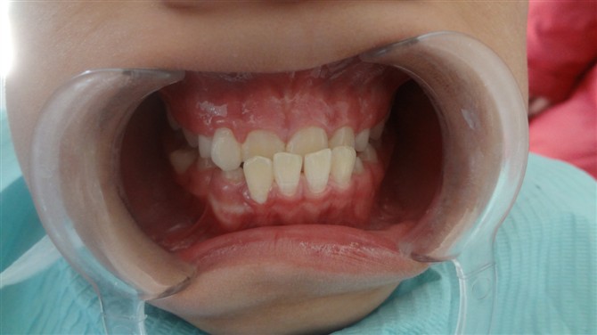
矫正前后对比4
发布时间:2013-10-01 发布人:stkq
上一条
下一条
版权所有:
大庆打折网(大庆折网)
商家名称:世同口腔
电话:0459-4688588/15846166668 地址:大庆市东风新村3-50号楼下商服(三区智胜文具对面)